第70回臨床検査技師国家試験(AM41~60)の解説です。
第70回臨技国試のAM問41~60の解説です。
難易度は主観で1~10の10段階でつけています。
1:超簡単
2~3:簡単
4~5:普通
6~7:やや難問
8~9:難問
10:超難問
第70回臨技国試についてをまとめたページもありますので,まだ見ていない方はぜひそちらもご参照ください。

問題の出典:厚生労働省ホームページ 第70回臨床検査技師国家試験の問題および正答について 午前問題(https://www.mhlw.go.jp/seisakunitsuite/bunya/kenkou_iryou/iryou/topics/dl/tp240424-07a_01.pdf)
臨床化学(AM29~44)

AM 問41
解答:4
難問。
4.正しい。
1~3・5.誤り。
AM 問42
解答:2
難問。蛋白質の種類を覚えていなければ勘で解くしかないです。
構造蛋白とは結合組織や細胞の運動に関わる蛋白のことを指します。
例)コラーゲンやエラスチンなど。
1.誤り。貯蔵蛋白です。
2.正しい。
3.誤り。
4・5.誤り。輸送蛋白です。
AM 問43
解答:2
一応計算式もありますが,半減期自体が何かを覚えておけば特に計算するまででもない問題です。
半減期は,その時間が経過すると1/2になるというものです。
よって,本問では3日経つごとに放射能が1/2になるとわかればOKです。
3日:1/2 → 6日:1/4 → 9日:1/8
となるので,1/8になるのは9日後となります。よって2が正解です。
計算式も掲載しておきます。
この計算式を用いて計算すると,放射能減衰割合が1/8,半減期が3日なので
$$\frac{1}{8}=(\frac{1}{2})^{\frac{n}{3}}$$
$$(\frac{1}{2})^3=(\frac{1}{2})^{\frac{n}{3}}$$
$$n=9$$
となります。
1・3~5.誤り。
2.正しい。
AM 問44
解答:4
69pm34でカルシウムについて解説しています。
1.誤り。約50%です。
2.誤り。施設によっても設定が異なりますが,大体8.5~10.0mg/dLです。(歯ご(=8.5)と(=10)カルシウムと覚えておけばOKです)
3.誤り。偽低値を示します。
4.正しい。
5.誤り。PTHで増加します。
病理組織細胞学(AM45~58)
AM 問45
解答:5
ホルマリン=約37%ホルムアルデヒドなので5が正解です。以下の記事も参考に。
1~4.誤り。
5.正しい。
AM 問46
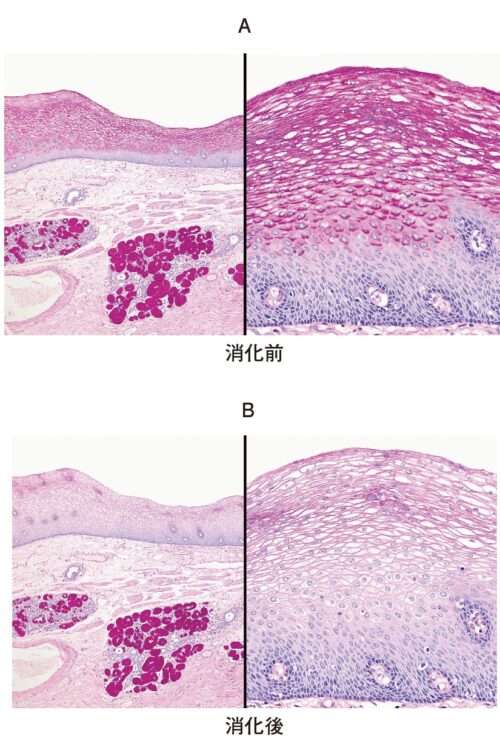
解答:3
画像では一部が白く抜けています。これは薄切時にブロック温度が低すぎるために生じます。
1・2・4・5.誤り。
3.正しい。
AM 問47
解答:3
個別記事がありますので,そちらを参照してください。
https://oltyblog.com/byouri-staining-all
1・2・4・5.誤り。
3.正しい。
AM 問48
解答:5
膠原線維染色・弾性線維染色は以下の記事を参考に。
1~4.誤り。
5.正しい。
AM 問49
解答:4
α-アミラーゼ消化=ジアスターゼ消化試験のことです。詳細は以下の記事を参照。
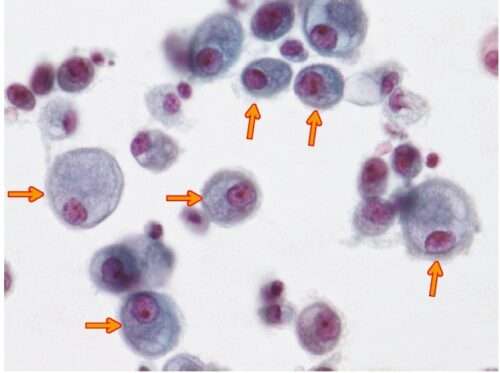
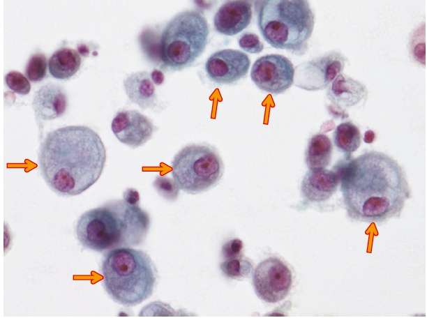
AM 問50
解答:3
なかなか難しい問題。
画像に写っている細胞は核が辺縁に押しやられており,細胞質に粘液成分を含むため,印環細胞癌が正解となります。
1・2・4・5.誤り。
3.正しい。
AM 問51
解答:2
超難問。解けなくても問題ありません。
1・3~5.誤り。
2.正しい。
AM 問52
解答:4
1.誤り。神経細胞のことです。
2・3.誤り。これらはいずれも中枢神経系に存在します。
4.正しい。
5.誤り。シュワン細胞間隙にあります。
AM 問53
解答:2
2.誤り。低蛋白血症(≒低アルブミン血症)によって,浸透圧(膠質浸透圧)が低下することで,血管から水分が漏れ出し腹水を生じます。
1・3~5.正しい。
AM 問54
解答:5
壊死とアポトーシスの違いは以下の記事を参照。
また,乾酪壊死像に関しては以下の記事を参照。
5.正しい。
1~4.誤り。
AM 問55
解答:2
難問。
AM 問56
解答:3
炎症の種類はできれば覚えておきたいですが,この問題に限って言えば,化膿=膿が出る=好中球とわかれば特に難しくはありません。
1・2・4・5.誤り。
3.正しい。
AM 問57
解答:3
内分泌機能を有する=ホルモンを産生する臓器とわかれば簡単。
3.正しい。
1・2・4・5.誤り。
AM 問58
解答:2・3
FISH法については以下の記事を参照。
FISH法は蛍光物質を使用するため,蛍光抗体法に似た内容となります。酵素抗体法と蛍光抗体法の違いについては68am47を参照。
2・3.正しい。
1・4・5.誤り。
臨床血液学(AM59~67)
AM 問59
解答:2
DICについては66pm63でまとめてありますので,内容を覚えていない方は確実に覚えましょう!
1.誤り。DICとビタミンK欠乏には関連がありません。
2.正しい。
3~5.誤り。これらはいずれも消費されて低下します。(プラスミンインヒビターはプラスミンと結合し,PICが産生されるためです)
AM 問60
解答:5
超難問。解けなくても問題はありません。
副腎皮質ステロイドは免疫抑制作用がありますが,好中球については次の作用によって末梢血好中球数が増加するとされています。
- 血管内皮に接着・ローリングしている好中球の表面接着力の低下→血中循環への移行
- 骨髄中の成熟好中球を血中に動員する作用
- 好中球のアポトーシス抑制
しかしながら,好中球の数が増えたとしても,その機能はステロイドによって抑制されるため,結果的に免疫抑制状態となります。
1~4.誤り。
5.正しい。
他の問題の解説を見る


























コメント